If You Need Soft Tissue Grafts in Abilene, TX, We're Here to Help!
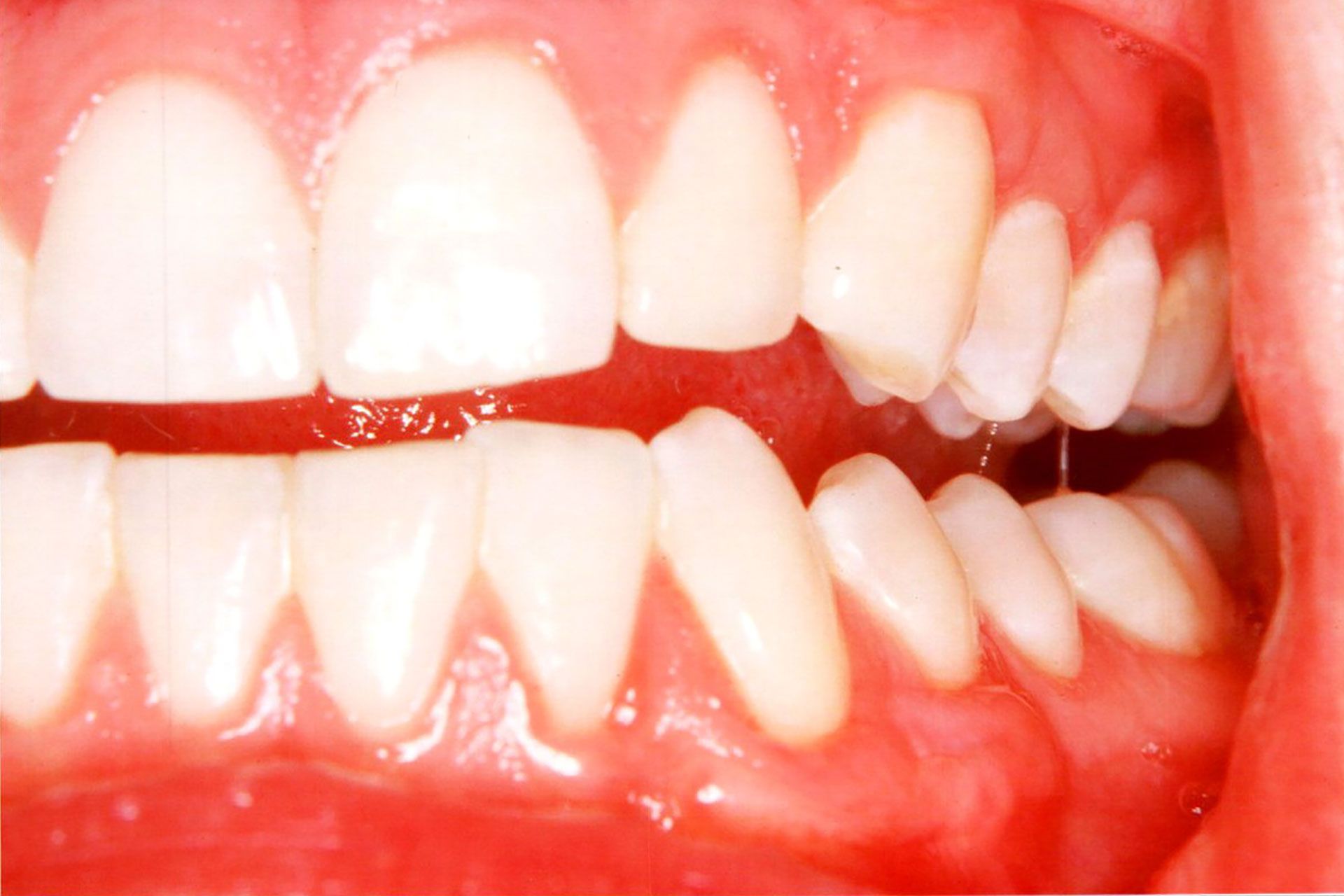
Exposed tooth roots are the result of gum recession. Perhaps you wish to enhance your smile by covering one or more of these roots that make your teeth appear too long. Or maybe you're not bothered by the appearance of these areas, but you cringe because the exposed roots are sensitive to hot or cold foods and liquids. A periodontist like Dr. Teri Brooks Lovelace of Abilene, TX can help.
Your gums may have receded for a variety of reasons, including aggressive tooth brushing or periodontal disease. You may not be in control of what caused the recession, but prior to treatment, your periodontist will help you identify the factors contributing to the problem. Once these contributing factors are controlled, soft tissue grafts will repair the defect and help to prevent additional recession and bone loss.
How Exactly Do Soft Tissue Grafts Work?
Soft tissue grafts can be used to cover roots or develop gum tissue which is absent due to excessive gingival (gum) recession. During this procedure, your periodontist takes gum tissue from your palate or another donor source to cover the exposed root. This can be done for one tooth or several, or even your whole gum line to reduce sensitivity.
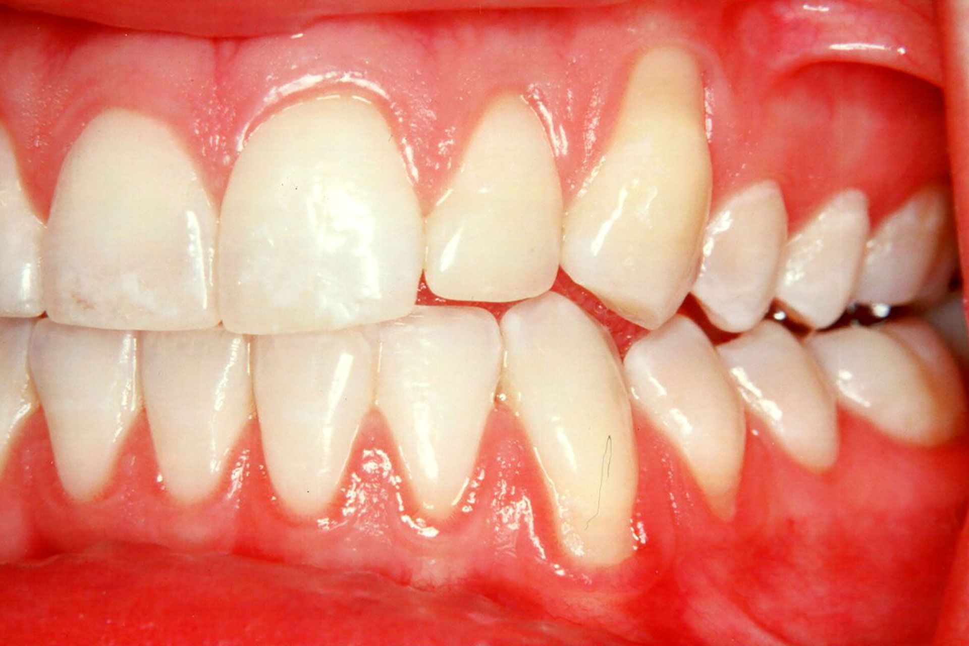
Once the treatment is complete, you can expect to enjoy less sensitivity as well as a more attractive smile. Improve your confidence and your oral comfort with one procedure: soft tissue grafts.
What to Know About Soft Tissue Grafts
If you suspect that you have reached the point where a soft tissue graft can help you, reach out to the office of Teri Brooks Lovelace DDS MS PA. Common signs that you might need a soft tissue graft include:
- Tooth Sensitivity
- Visible Tooth Roots
- Possible Redness and Irritation
If you have diagnosed periodontal disease, you'll need to resolve the issue prior to having this procedure. Our office can help you take control of your oral health and work with you to help solve the problem. Once you are ready for the soft tissue graft, we will perform the procedure in our office. You will be provided with all of the information you need to be prepared for the procedure and for the healing period after the procedure is complete.
While soft tissue grafting is an outpatient procedure, you'll likely want to take the rest of the day to rest. Healing time is relatively short; most patients only need over-the-counter pain medication and generally start feeling better after only a couple of days. Stick to soft, cool drinks and foods until your gums have finished healing; you should also avoid brushing or flossing around the affected area to avoid disturbing your new tissue. Once healing is complete, you'll need to adopt comprehensive strategies to maintain your oral health in order to preserve your new smile. Our office will work with you to let you know what to expect.
Want to Learn More About Soft Tissue Grafts? Call Us Today!
Are you experiencing pain and discomfort in your gums? Do you suspect that a graft might help you? Contact Teri Brooks Lovelace DDS MS PA today. Our experienced team will work with you every step of the way to plan your procedure, help you understand what to expect, and keep an eye on you during the recovery period. Our mission is to help everyone in the Abilene, TX area recover from the insidious effects of gum disease.


